Аскорбиген – модификатор токсичности рифабутина
Аннотация
Актуальность. Показания к применению рифабутина постоянно расширяются. Он используется в терапии чрезвычайно сложных нозологических форм инфекционных заболеваний. Однако побочные эффекты препарата, такие как гастроинтестинальная токсичность и миелосупрессия, во многих случаях не позволяют завершить лечение и ослабляют приверженность больного к терапии. Это определяет необходимость поиска средств, позволяющих ослабить токсические свойства рифабутина.
Цель. Исследование возможности коррекции гастроинтестинальной и гематологической токсичности рифабутина с помощью аскорбигена.
Методы. Исследования проведены на крысах самцах линии Wistar. Препараты вводили перорально в терапевтических дозах (50 мг/кг ежедневно течение 15 суток). Аскорбиген вводили за 30 мин. до введения рифабутина. В ходе исследования определяли массу тела, проводили клинический и биохимический анализ крови, анализ мочи, снимали ЭКГ. На 1 и 30 сутки по окончании курса по пять животных из каждой группы подвергали эвтаназии. Проводили патоморфологическое исследование внутренних органов.
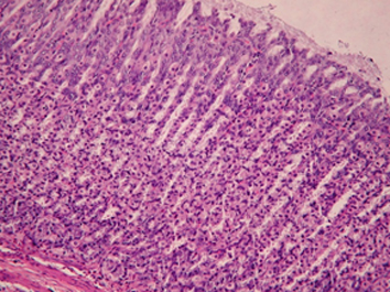
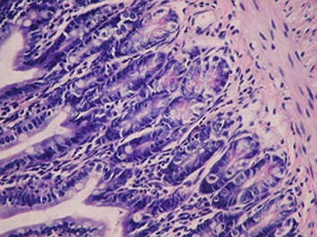
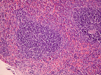
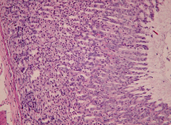
Результаты. Показано, что применение рифабутина в сочетании с аскорбигеном приводит к ослаблению повреждающего действия антибиотика на слизистую оболочку желудочно-кишечного тракта и ускорению процессов восстановления ее структуры, что клинически выражается в нормализации прироста массы тела животных. При комбинированном применении рифабутина с аскорбигеном уменьшается глубина цитопении, а количество лейкоцитов в периферической крови крыс восстанавливается быстрее. Признаки атрофии лимфоидной ткани селезенки отсутствуют. Введение аскорбигена до рифабутина оказывает протекторный эффект в отношении тканей почек и семенников.
Заключение. Пероральное введение аскорбигена за 30 минут до рифабутина достоверно ослабляет гастроинтестинальную и гематотоксичность последнего, препятствует развитию процессов нарушения сперматогенеза. Это позволяет рекомендовать его для комбинированного применения с целью улучшения переносимости противотуберкулезной терапии.
ключевые слова: рифабутин, аскорбиген, гастроинтестинальная токсичность, гематотоксичность, крысы
Об авторах
Элеонора Рафаиловна ПереверзеваРоссия
Заместитель директора по научной работе, вед. науч. сотрудник лаб. фармакологии и химиотерапии
SPIN-код: 9950-9002
Элеонора Рафаиловна Переверзева
Россия
Иван Дмитриевич Трещалин
заведующий лабораторией фармакологии и химиотерапии, кандидат мед. наук
Список литературы
1. Global tuberculosis report 2018. Geneva: World Health Organization; 2018. Licence: CC BY-NC-SA 3.0 IGO. https://apps.who.int/iris/bitstream/handle/10665/274453/9789241565646-eng.pdf?ua=1
2. Здравоохранение в России. 2019: Стат.сб./Росстат. - М., 2019. – 170 с./ Zdravookhranenie v Rossii. 2019: Stat.sb./Rosstat. - M., 2019. – 170 s.(in Russian).
3. Global tuberculosis report 2019. Geneva: World Health Organization; 2019. Licence: CC BY-NC-SA 3.0 IGO. https://apps.who.int/iris/bitstream/handle/10665/329368/9789241565714-eng.pdf?ua=1
4. Туберкулез органов дыхания у взрослых. Клинические рекомендации. Министерство здравоохранения РФ. МКБ 10: А15/А16, 2018/ Tuberkulez organov dykhaniya u vzroslykh. Klinicheskie rekomendatsii. Ministerstvo zdravookhraneniya RF. MKB 10: A15/A16, 2018. .(in Russian). http://obltub.ru/assets/files/2019/05.2019/klinicheskie-rekomendacii-tod-u-vzroslyh-2018.pdf
5. Crabol Y, Catherinot E, Veziris N, Jullien V, Lortholary O. Rifabutin: where do we stand in 2016? J Antimicrob Chemother. 2016;71:1759–1771. DOI:10.1093/jac/dkw024
6. Azis L, Jones-López EC, Ellner JJ. Chapter 26-HIV-associated tuberculosis, in Sande's HIV/AIDS Medicine (Second Edition), 2012, P. 325-347. https://doi.org/10.1016/B978-1-4557-0695-2.00026-2
7. Datri 001 Study Group. Clarithromycin (CL) plus rifabutin (RFB) for VFC prophylaxis: evidence for a drug interaction. In: Abstracts of the 1st Nat Conf Human Retroviruses Related Infec. Washington 1993; Abstr 106
8. Treatment of tuberculosis: guidelines – 4th ed. WHO/HTM/TB/2009.420 https://apps.who.int/iris/bitstream/handle/10665/44165/9789244547830_rus.pdf?sequence=2
9. Цыбанев А.А., Соколова Г.Б. Противотуберкулезный антибиотик пролонгированного действия - рифабутин. Антимикробный спектр, особенности фармакодинамики и фармакокинетики. // Антибиотики и химиотерапия. – 1999. - N8, С.30-36/ Tsybanev A.A., Sokolova G.B. Protivotuberkuleznyi antibiotik prolongirovannogo deistviya - rifabutin. Antimikrobnyi spektr, osobennosti farmakodinamiki i farmakokinetiki. // Antibiotiki i khimioterapiya. – 1999. - N8, S.30-36.(in Russian).
10. Wallace RJ, Philley JV, Griffith DE. Antimycobacterial Agents. Mandell, Douglas, and Bennett's Principles and Practice of Infectious Diseases (Eighth Edition), V. 1, 2015, P. 463-478.e3 https://doi.org/10.1016/B978-1-4557-4801-3.00038-2
11. WHO consolidated guidelines on drug-resistant tuberculosis treatment. Geneva: World Health Organization; 2019. Consolidated-guidelines-drug-resistant-TB-treatment/en/, accessed 17 July 2019. https://www.who.int/tb/publications2019
12. Dobbs TE, Webb RM. Chemotherapy of tuberculosis. Microbiol Spectr. 2017;5(2):1-16. DOI:10.1128/microbiolspec.TNMI7-0040-2017
13. Kravchenko LV, Avren'eva LI, Guseva GV, Posdnyakov AL, Tutel'yan VA. Effect of nutritional indoles on activity of xenobiotic metabolism enzymes and T-2 toxicity in rats. Bull Exp Biol Med. 2001;131(6):544-7. DOI: 10.1023/a:1012346401315.
14. Муханов В.И., Ярцева И.В., Кикоть Б.С., Володин Ю.Ю., Кустова И.Л., Лесная Н.А. и др. Изучение аскорбигена и его производных. // Биоорганическая химия. -1984. – Т.10. -№4 -С.554-559./ Mukhanov V.I., Yartseva I.V., Kikot' B.S., Volodin Yu.Yu., Kustova I.L., Lesnaya N.A. i dr. Izuchenie askorbigena i ego proizvodnykh. // Bioorganicheskaya khimiya. -1984. – T.10. -№4 -S.554-559. (in Russian).
15. Переверзева Э.Р., Трещалин И.Д., Бодягин Д.А., Трещалин, М.И. Преображенская М.Н., Бухман В.М. Пероральное применение аскорбигена с целью ускорения репарации индуцированных циклофосфамидом повреждений тонкой кишки и лимфоидных органов мышей. // Российский биотерапевтический журнал. – 2005. –Т.4. - №4 -С.129 –133. / Pereverzeva ER, Treschalin ID, Bodyagin DA, Treschalin MI, Preobrazhenskaya M N, Bukhman VM. Oral administration of ascorbigen accelerates the regeneration of small intestine and lymphoid organs of mice after injury caused by cyclophosphamide. Russian biotherapeutic journal. 2005;4(4): 129–133. (in Russian).
16. European Convention for the protection of vertebrate animals used for experimental and other scientific purposes (Council of Europe, ETS No. 123). –1986.
17. Freireich EJ, Gehan EA, Rall DP, Schmidt LH, Skipper HE. Quantitative Comparison of Toxicity of Anticancer Agents in Mouse, Rat, Hamster, Dog, Monkey, and Man. Cancer Chemother Rep.1966;50(4):219-44. PMID: 4957125.
18. Руководство по проведению доклинических исследований лекарственных средств. Под ред. А.Н. Миронова, – М.: Гриф и К. – 2012. – ч.1. – С.13-24/ Rukovodstvo po provedeniyu doklinicheskikh issledovanii lekarstvennykh sredstv. Pod red. A.N. Mironova, – M.: Grif i K. – 2012. – ch.1. – S.13-24. (in Russian).
19. Padmapriyadarsini C, Jawahar MS. A worldwide yearly survey of new data in adverse drug reactions and interactions. Rifabutin. In: Side Effects of Drugs Annual, 2014, V. 35, P. 551-563 https://doi.org/10.1016/B978-0-444-62635-6.00030-9
20. Verburg M, Renes IB, Meijer HP, Taminiau JA, Büller HA, Einerhand AW et. al. Selective Sparing of Goblet Cells and Paneth Cells in the Intestine of Methotrexate-Treated Rats. Am J Physiol Gastrointest Liver Physiol. 2000;279(5):G1037-47. DOI: 10.1152/ajpgi.2000.279.5.G1037.
21. Verburg M, Renes IB, Van Nispen DJPM, Ferdinandusse S, Jorritsma M, Büller HA et. al. Specific responses in rat small intestinal epithelial mRNA expression and protein levels during chemotherapeutic damage and regeneration. J Histochem Cytochem. 2002;50(11):1525-36. DOI: 10.1177/002215540205001113.
22. Seno H, Sawada M, Fukuzawa H, Morita-Fujisawa Y. Takaishi S, Hiai H et al. Involvement of tumour necrosis factor alpha in the intestinal epithelial cell proliferation following Paneth cell destruction. Scand Gastroenterol. 2002;37(2):154-160. https://doi.org/10.1080/003655202753416803
23. Möller P, Walczak H, Reidl S, Sträter J, Krammer PH. Paneth Cells Express High Levels of CD95 Ligand Transcripts: A Unique Property Among Gastrointestinal Epithelia. Am J Pathol. 1996;49(1):9-13. PMID: 8686766
24. Ariza A, López D, Castellà EM, Muñoz C, Zújar MJ, Mate JL. Expression of CD15 in normal and metaplastic Paneth cells of the digestive tract. J Clin Pathol. 1996; 49(6):474–477. DOI:10.1136/jcp.49.6.474.
25. Hooper LV, Stappenbeck TS, Hong CV, Gordon JI. Angiogenins: a new class of microbicidal proteins involved in innate immunity. Nat Immunol. 2003; 4(3):269-273. DOI:10.1038/ni888
26. Brughera M, Scampini G, Newman AJ, Castellino S, Samantini U, Mazue G. Overview of toxicological data on rifabutin. Exp Toxic Patol. 1995; 47:1-9.
Дополнительные файлы
|
1. Неозаглавлен | |
| Тема | ||
| Тип | Прочее | |
Скачать
(1MB)
|
Метаданные ▾ | |
|
|
2. Неозаглавлен | |
| Тема | ||
| Тип | Исследовательские инструменты | |
Посмотреть
(156KB)
|
Метаданные ▾ | |
|
|
3. Неозаглавлен | |
| Тема | ||
| Тип | Исследовательские инструменты | |
Посмотреть
(113KB)
|
Метаданные ▾ | |
|
|
4. Неозаглавлен | |
| Тема | ||
| Тип | Исследовательские инструменты | |
Посмотреть
(166KB)
|
Метаданные ▾ | |
|
|
5. Неозаглавлен | |
| Тема | ||
| Тип | Исследовательские инструменты | |
Посмотреть
(170KB)
|
Метаданные ▾ | |
|
|
6. Неозаглавлен | |
| Тема | ||
| Тип | Исследовательские инструменты | |
Посмотреть
(170KB)
|
Метаданные ▾ | |
|
|
7. Неозаглавлен | |
| Тема | ||
| Тип | Исследовательские инструменты | |
Посмотреть
(147KB)
|
Метаданные ▾ | |
|
|
8. Неозаглавлен | |
| Тема | ||
| Тип | Исследовательские инструменты | |
Посмотреть
(153KB)
|
Метаданные ▾ | |
|
|
9. Неозаглавлен | |
| Тема | ||
| Тип | Исследовательские инструменты | |
Посмотреть
(150KB)
|
Метаданные ▾ | |
|
|
10. Неозаглавлен | |
| Тема | ||
| Тип | Исследовательские инструменты | |
Посмотреть
(148KB)
|
Метаданные ▾ | |
|
|
11. Неозаглавлен | |
| Тема | ||
| Тип | Исследовательские инструменты | |
Посмотреть
(125KB)
|
Метаданные ▾ | |
|
|
12. Неозаглавлен | |
| Тема | ||
| Тип | Исследовательские инструменты | |
Посмотреть
(135KB)
|
Метаданные ▾ | |
|
|
13. Неозаглавлен | |
| Тема | ||
| Тип | Исследовательские инструменты | |
Посмотреть
(191KB)
|
Метаданные ▾ | |
|
|
14. Неозаглавлен | |
| Тема | ||
| Тип | Исследовательские инструменты | |
Посмотреть
(193KB)
|
Метаданные ▾ | |
|
|
15. Неозаглавлен | |
| Тема | ||
| Тип | Исследовательские инструменты | |
Посмотреть
(201KB)
|
Метаданные ▾ | |
|
|
16. Неозаглавлен | |
| Тема | ||
| Тип | Исследовательские инструменты | |
Посмотреть
(197KB)
|
Метаданные ▾ | |
|
17. Неозаглавлен | |
| Тема | ||
| Тип | Исследовательские инструменты | |
Скачать
(2MB)
|
Метаданные ▾ | |
|
18. Неозаглавлен | |
| Тема | ||
| Тип | Исследовательские инструменты | |
Скачать
(17KB)
|
Метаданные ▾ | |
|
19. Неозаглавлен | |
| Тема | ||
| Тип | Исследовательские инструменты | |
Скачать
(1MB)
|
Метаданные ▾ | |
Рецензия
Для цитирования:
Переверзева ЭР, Переверзева ЭР, Трещалин ИД. Аскорбиген – модификатор токсичности рифабутина. Антибиотики и Химиотерапия. 2020;65(9-10).
















































